MUCORMICOSIS
LIMITADA EN EL SENO MAXILAR: A PROPÓSITO DE UN CASO
LIMITED MUCORMYCOSIS IN
MAXILLARY SINUS: ABOUT A CASE
Diego Fonseca
0000-0002-1672-9205,1 Fernando Parada
0000-0003-1889-245X,1 María Josée Pérez
0009-0006-3877-7650,1 Sandra Montero
0000-0002-5443-124X1
1 Unidad de Emergencia
Adulto, Hospital Regional Libertador Bernardo O’Higgins, Chile.
AUTOR
PARA CORRESPONDENCIA
Diego Fonseca Escobar. Correo electrónico: d.fonsecaescobar@gmail.com
Los autores manifiestan no poseer conflictos de
intereses.
Resumen
La mucormicosis engloba un amplio espectro de
infecciones del tipo oportunistas causada por hongos de la familia Mucoraceae,
Lichtheimiaceae, Thamnidiaceae, Cunninghamellaceae, Syncephalastraceae y Radiomycetaeae.
Se caracteriza por su baja prevalencia, por ser rápidamente progresiva y por su
alta mortalidad. Su presentación clínica más frecuente, debido a su dificultad
en el diagnóstico, es la rinocerebral de origen paranasal, cuyo síntoma
característico es la rinosinusitis aguda bacteriana con proyección a los
dientes antrales. A continuación se presenta el caso de una paciente de sexo
femenino de 75 años, con antecedentes de diabetes mellitus tipo 2 e
hipertensión, quien ingresa al servicio de urgencia por reagudización de un
dolor en la hemicara izquierda con dos semanas de evolución, el cual, tras
estudio clínico, imagenológico y biopsia, entregó el diagnóstico de
mucormicosis del seno maxilar. Este caso tiene por objetivo ilustrar al lector
sobre la rareza de presentación de la mucormicosis y la importancia de su
sospecha y manejo oportuno.
Palabras clave. Mucormicosis,
necrosis maxilar, diabetes.
Abstract
Mucormycosis
encompasses a broad spectrum of opportunistic infections caused by fungi of the
Mucoraceae, Lichtheimiaceae, Thamnidiaceae, Cunninghamellaceae,
Syncephalastraceae, and Radiomycetaeae families. It is characterized by its low
prevalence, rapid progression and high mortality. Its most frequent clinical
presentation, due to its difficulty in diagnosis, is rhinocerebral of paranasal
origin, whose characteristic symptom is acute bacterial rhinosinusitis with
projection to the antral teeth. The case of a 75-year-old female patient with a
history of type 2 diabetes mellitus and hypertension is presented, who was
admitted to the emergency service due to exacerbation of pain in the left side
of the face with two weeks of evolution. Clinical, imaging and biopsy studies
delivered the diagnosis of mucormycosis of the maxillary sinus. This case is
intended to illustrate the reader about the rarity of mucormycosis presentation
and the importance of its suspicion and timely management.
Key words. Mucormycosis,
maxillary necrosis, diabetes.
ark caicyt: http://id.caicyt.gov.ar/ark:/s26184311/x8jytxyzu
Introducción
La
mucormicosis es una patología de baja prevalencia causada por un amplio
espectro de infecciones de tipo oportunista causadas por hongos de la familia Mucoraceae,
Lichtheimiaceae, Thamnidiaceae, Cunninghamellaceae, Syncephalastraceae y Radiomycetaeae,
los cuales presentan hifas hialinas anchas, escasamente tabicadas y
reproducción mediante zigospora. Debido a la tendencia de angioinvasión y
rápida progresión que presenta esta patología, su diagnóstico habitualmente es
tardío, por lo que conlleva altas tasas de mortalidad. Es de mayor incidencia
en climas tropicales y en pacientes inmunocomprometidos con patologías
predisponentes como diabetes, hepatopatía, falla renal, tuberculosis,
tratamiento prolongado de corticoides, abuso de drogas, entre otros; la diabetes
descontrolada es la comorbilidad más frecuente en los pacientes con
mucormicosis (1).
Actualmente
se desconoce la incidencia de la mucormicosis a nivel mundial; sin embargo, los
estudios señalan que India es el país con mayor número de reportes de
mucormicosis, alcanzando los 140 casos por millón de habitantes (2).
En
relación a su clasificación y presentación clínica, se realiza según la estructura
y órgano que compromete; la rinocerebral de origen paranasal es la de mayor
incidencia, cuya puerta de entrada es habitualmente la naso- y orofaringe, la
que se caracteriza por presentar rápido avance debido a la abundante irrigación
del macizo facial y alta mortalidad. Esto se debe a que la infección puede
avanzar velozmente hacia estructuras intracraneales y presentar síntomas
totalmente inespecíficos de la enfermedad, tales como dolor ocular, visión
borrosa, cefalea, parestesia facial, fiebre, pérdida de olfato, congestión,
secreción nasal, y signos y síntomas que pueden llevar a sospechar
rinosinusitis aguda bacteriana con proyección a los dientes antrales, lo cual
dificulta su diagnóstico (3,4).
El
diagnóstico se realiza mediante el estudio clínico, imagenológico, biopsia del
tejido infectado y cultivo biológico de este (1).
Debido
a que no presenta signos y síntomas patognomónicos y a su rápida invasión y
mortalidad, ante la mínima sospecha de mucormicosis, se recomienda la
hospitalización del paciente, seguido de un tratamiento empírico con
anfotericina B liposomal y biopsia de carácter urgente. Tras el diagnóstico
definitivo, el tratamiento puede ser farmacológico o quirúrgico; la resección
del tejido infectado es la más habitual debido a su diagnóstico tardío (5).
A
continuación se presenta una rara presentación clínica de mucormicosis, la cual
comprometía exclusivamente el seno maxilar.
Presentación del caso
Paciente
de género femenino de 75 años de edad ingresa a la unidad de emergencia del
Hospital Regional Libertador Bernardo O´Higgins por dolor y aumento de volumen
en la hemicara izquierda de dos semanas de evolución; refiere haber presentado,
en las semanas previas, lesiones tipo úlcera en la cavidad oral sin sintomatología
dolorosa, que desaparecieron. Días más tarde presentó dolor agudo irradiado
según la Escala Analógica Visual 10/10 en la hemicara izquierda, que fue
tratado en otro centro hospitalario, con el diagnóstico de sinusitis maxilar.
Actualmente relata dolor en el lado izquierdo del maxilar con parestesia
geniana de ala y dorso nasal, sin compromiso motor. Entre sus antecedentes
médicos presenta diabetes mellitus tipo 2 sin control médico, hipertensión,
lesión renal aguda AKI KDIGO I, anemia moderada y asma; medicamentos de consumo
habitual: furosemida y losartán; presenta alergia a la penicilina.
Al
momento de ingresar a urgencias, se consignó normotenso, normocárdico, eupnea,
96% de saturación, afebril y hemoglucotest de 173 mg/dl, puntaje en la escala
de coma de Glasgow, 15. En el examen físico segmentario dirigido presentó
pupilas reactivas isocóricas, aumento del volumen de consistencia dura y
parestesia geniana izquierda, mucosa oral hidratada, sin focos infecciosos,
cuello simétrico y móvil. No se consignaron ganglios cervicales palpables.
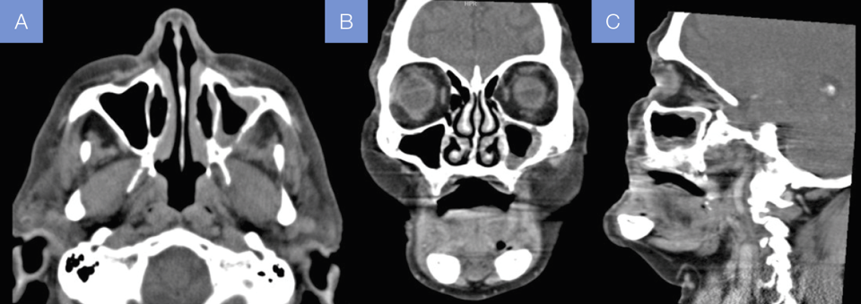
En
urgencias se solicitó una tomografía axial computarizada del macizo facial con
contraste (Fig. 1), la cual informa engrosamiento de la mucosa del seno maxilar
izquierdo con presencia de calcificaciones mucoperiósticas, esclerosis de sus
paredes y obliteración secundaria del complejo osteomeatal izquierdo.

Figura 1. Tomografía
axial computarizada preoperatoria con contraste, (A) con corte axial, (B) corte
coronal, (C) corte sagital.
Luego
del estudio clínico e imagenológico, se estableció hipótesis diagnóstica de
mucormicosis del maxilar y sinusitis crónica del maxilar.
El
plan de tratamiento fue hospitalización del paciente con manejo
médico-quirúrgico, donde se indicó de forma empírica anfotericina B liposomal
300 mg endovenosa (EV) por día, ceftriaxona 1 g cada 12 horas EV, y
metronidazol 500 mg cada 8 horas, estabilización de patologías de base e
interconsulta para cirugía maxilofacial.
Tras
la evaluación al día siguiente por cirugía maxilofacial, se decidió realizar
biopsia rápida incisional del seno maxilar comprometido, la cual confirmó el
diagnóstico de mucormicosis del seno maxilar. Recibió tratamiento
médico-quirúrgico, manteniendo el tratamiento farmacológico y la resección en
bloque del seno maxilar y posterior reconstrucción.
Discusión
Son
escasos los reportes de mucormicosis que comprometan exclusivamente el seno
maxilar; esto se debe a su rápida progresión y sintomatología inespecífica, lo
que dificulta su diagnóstico y manejo. La mucormicosis tipo rinocerebral o
sino-orbital es de mayor incidencia en el territorio maxilofacial de los
pacientes diabéticos –especialmente aquellos que están mal controlados–, que
puede comprometer la órbita o el sistema nervioso central con compromiso de la visión
y oftalmoplejía. La rápida progresión de esta patología puede diseminarse
intracranealmente y causar abscesos o trombosis del seno sagital (6).
La
mucormicosis tiene una presentación clínica y radiográfica muy similar a otras
afecciones que pueden superponerse. Cornely y colaboradores establecen un
algoritmo de diagnóstico ante la sospecha de mucormicosis, en el que la
histopatología es el método de referencia para el diagnóstico definitivo (1).
Las
nuevas formulaciones de anfotericina B, como la anfotericina B liposomal,
tienen alto éxito en el tratamiento de la mucormicosis. Los azoles, como el
isavuconazol y el posaconazol, son una alternativa atractiva para el
tratamiento de la mucormicosis en el manejo temprano de la patología. En casos
más avanzados se sugiere la resección de las estructuras comprometidas y manejo
farmacológico (1).
Conclusión
La mucormicosis es una infección fúngica oportunista
que afecta principalmente a pacientes con el sistema inmunológico disminuido.
Al ser una patología de rápida evolución y alta mortalidad, es fundamental un
diagnóstico temprano y establecer protocolos de atención ante la sospecha de
esta, con el fin de obtener un oportuno diagnóstico y el manejo médico
quirúrgico de tipo interdisciplinario con el fin de controlar los riesgos del
paciente y mejorar su pronóstico. Ante la sospecha del compromiso del seno
maxilar en un paciente inmunocomprometido, se sugiere el manejo médico empírico
de la mucormicosis hasta la confirmación de esta, ya que puede ser el
diagnóstico temprano de la patología. Esto se debe a que el tratamiento
oportuno permite disminuir la tasa de mortalidad.
Referencias bibliográficas
1. Cornely OA, Alastruey-Izquierdo A, Arenz
D, et al. Mucormycosis ECMM MSG Global Guideline
Writing Group. Global guideline for the diagnosis and management of
mucormycosis: an initiative of the European Confederation of Medical Mycology
in cooperation with the Mycoses Study Group Education and Research Consortium. Lancet
Infect Dis 2019 12;19:e405-e421. https://doi.org/10.1016/S1473-3099(19)30312-3
2. Jeong W, Keighley C, Wolfe R, et al. The epidemiology and clinical
manifestations of mucormycosis: a systematic review and meta-analysis of case
reports. Clin Microbiol Infect 2019;25:26-34
3. Jeong W, Keighley C, Wolfe R, et al. Contemporary management and
clinical outcomes of mucormycosis: A systematic review and meta-analysis of
case reports. Int J Antimicrob Agents 2019;53:589-97
4. Pal R, Singh B, Bhadada SK, et al. Covid-19-associated mucormycosis:
An updated systematic review of literature. Mycoses 2021;64:1452-9
5. Cho HS, Yang HS, Kim KS. Mucormycosis (Mucor fungus ball) of the
maxillary sinus. Ear Nose Throat J 2014;93:E18-E22
6. Saran S, Sharma Y, Khanna T,
Singh AP. Maxillary mucormycosis causing oroantral fistula in a young female. Ann Afr Med 2019;18:211-3