COLITIS MICROSCÓPICA: UNA ENFERMEDAD SUBDIAGNOSTICADA. REVISIÓN DE TEMA

MICROSCOPIC COLITIS: AN UNDERDIAGNOSED DISEASE. TOPIC REVIEW

Carlos Mauricio Martínez Montalvo,1 Enrique Ponce León,2 Yeison Rodolfo Gómez Ledesma,3 Valeria Bautista Vargas,4 María Alejandra Tobón Arango,5 Anny Carolina Sarria Mena,5 Daniel Vélez Díaz,5 Laura Masmela Gil,5 Jaqueline Acevedo Rendon,6 María Teresa Navarro Peña,7 Melissa Charria Caicedo,6 Yulieth Magdalena Velasco,8 Harold Ernesto Ordóñez López,6 Gabriel Andrés Martínez Sandoval,9 Sofía Fernanda Leal Berna,10 Erika Paola Anacona,11 Hernando Andrés Molina,12 Jessika Cris Medina Quintana12

1  Fellow en Gastroenterología, Universidad Nacional de Colombia.

2  Gastroenterólogo y endoscopista, Fundación Cardioinfantil, Bogotá, Colombia.

3  Residente de radiología, Universidad CES, Medellín, Colombia.

4  Médico general, Universidad Santiago de Cali, Colombia.

5  Médico general, Universidad Pontificia Bolivariana, Medellín.

6  Médico general, Fundación Universitaria San Martín, Colombia.

7  Médico general, Universidad del Sinú Elías Bechara Zainum, Cartagena, Colombia.

8  Médico general, Universidad del Cauca, Popayán, Colombia.

9  Médico general, Universidad Javeriana, Bogotá.

10 Médico general, Universidad de Nariño, Pasto, Colombia.

11 Enfermera, Fundación Universitaria Navarra, Neiva, Colombia.

12 Médico general, Universidad Libre, Cali.

AUTOR PARA CORRESPONDENCIA

Cra 14ª # 163-27, Bogotá, Colombia. Teléfono: (5732) 0401-6821. Dr. Carlos Mauricio Martínez Montalvo. Correo electrónico: carlitos220792@gmail.com

Los autores manifiestan no poseer conflictos de intereses.

 

 

Resumen

La colitis microscópica se caracteriza por una infiltración linfocítica de la mucosa colónica con apariencia endoscópica casi normal. Se clasifica en dos subtipos principales, colitis colágena y colitis linfocítica, y una variante llamada colitis microscópica incompleta. Se ha relacionado con tabaquismo, enfermedades autoinmunes, genéticas, malabsortivas, medicamentos e infecciones intestinales. Cursa con diarrea crónica acuosa no sanguinolenta y recurrente. Su diagnóstico es histológico, con  evidencia de aumento de linfocitos intraepiteliales y de la lámina propia (más de 20 linfocitos por cada 100 células epiteliales), tanto en el epitelio superficial como en el epitelio de las criptas. La presencia de una banda de colágeno subepitelial engrosada (mayor a 10 µm el criterio) diferencia la colitis colágena de la colitis linfocítica. El tratamiento no difiere según el subtipo y consiste en la supresión de factores de riesgo, sintomáticos y específicos con budesonida oral, como alternativa a casos refractarios en los que se recomienda el uso de inmunomoduladores y biológicos con infliximab. Un diagnóstico adecuado conduce a un buen pronóstico; en otras condiciones, hay mayor riesgo de morbimortalidad. Se plantea la siguiente revisión con el objetivo de reafirmar o consolidar nuevas estrategias diagnósticas y terapéuticas ya establecidas por los consensos internacionales y las últimas guías.

Palabras clave. Colitis microscópica, colitis linfocítica, colitis colágena.

 

Abstract

Microscopic colitis is characterized by lymphocytic infiltration of the colonic mucosa with an almost normal endoscopic appearance. It is classified into two main subtypes which are collagenous colitis and lymphocytic colitis, and a variant that is incomplete microscopic colitis. It has been linked to smoking, autoimmune diseases, genetics, malabsorption, medications, and intestinal infections. Chronic non-bloody and recurrent watery diarrhea is the usual clinical presentation. Diagnosis is made histologically with the evidence of an increase in intraepithelial lymphocytes, and the lamina propria (more than 20 lymphocytes by each 100 epithelial cells), both in the superficial epithelium and in the crypt epithelium, remains the same: the presence of a thickened supepithelial collagen band (more than 10 um) that differentiates collagenous colitis from lymphocytic colitis. Treatment does not differ in subtype and consists of suppression of specific and symptomatic risk factors with oral budesonide, as an alternative to refractory cases, use of immunomodulators and biologics with infliximab. An adequate diagnosis leads to a good prognosis; in other conditions there is a greater risk of morbidity and mortality. The following review is proposed with the aim of updating the diagnostic and therapeutic strategies within the framework of the underdiagnosis of this entity.

Key words. Microscopic colitis, lymphocytic colitis, collagenous colitis.

 

ark caicyt: http://id.caicyt.gov.ar/ark:/s26184311/1326dl8al

 

 

 

Introducción

 

La colitis microscópica (CM) es un proceso inflamatorio crónico que compromete el intestino grueso y se caracteriza por una infiltración linfocítica de la mucosa colónica. Los estudios endoscópicos son de características normales en la mayoría de los casos. Dentro de su espectro clínico se caracteriza por cursar con diarrea acuosa crónica y recidivante (1). Se clasifica en colitis linfocítica (CL), colitis colágena (CC) y colitis microscópica incompleta (CMI) (2). Esta revisión tiene como objetivo dar a conocer una patología frecuente subdiagnosticada, para facilitar un enfoque diagnóstico y terapéutico con información actualizada.

 

 

Metodología de búsqueda

 

Esta revisión tiene como objetivo reafirmar o consolidar las nuevas estrategias, tanto diagnósticas como terapéuticas, ya establecidas por los consensos internacionales y las ultimas guías.

Para esta revisión se realizó una búsqueda de artículos originales y de revisión en inglés y español publicados hasta febrero de 2022 en las bases de datos PubMed, ScienceDirect y Scielo. Se usaron, tanto en inglés como español, las siguientes palabras clave: “colitis”, “colitis microscópica”, “colitis linfocítica” y “colitis colagenosa”. Se incluyeron estudios descriptivos y analíticos en humanos, revisiones y algunos reportes de caso de terapia emergentes. Se encontraron 233 artículos, de los cuales se escogieron 64, excluyendo principalmente estudios en animales o descriptivos de bajos tamaños de muestra con resultados sin significación estadística o repetitivos, ensayos clínicos o estudios analíticos en menores de 18 años (Fig. 1).

 

Figura 1. Diagrama de metodología de búsqueda.

 

 

Desarrollo del tema

 

Historia

La CM fue descripta inicialmente por Lindstrom en el año 1976, en un paciente que cursaba con diarrea acuosa crónica y que en las biopsias mostró un depósito de colágeno subepitelial abundante (3). Sólo en 1980 se empezó a usar el término colitis microscópica (4), Desde 1993 se plantearon los dos subtipos, que son la CL y la CC, similares clínicamente, pero que histológicamente se distinguen por la presencia o ausencia de engrosamiento subepitelial, determinado por una banda de colágeno. Recientemente, se han descripto pacientes que no cumplen criterios clásicos de CM, pero presentan cambios histológicos similares, por lo cual se acepta universalmente el término colitis microscópica incompleta (CMI) (5).

Fue inicialmente considerada una enfermedad rara: sólo 446 casos de CC habían sido reportados en la literatura médica para 1992. Actualmente es un diagnóstico en aumento, una de las principales etiologías en el estudio etiológico de diarrea crónica (6,7); hasta un 25% se diagnostica antes de los 45 años y, aunque es poco frecuente, también se han descripto reportes de caso en la población pediátrica (8,9).

 

 

Epidemiología

 

Aunque inicialmente la enfermedad fue considerada rara, se reporta una incidencia en aumento asociada al envejecimiento poblacional, al reconocimiento temprano en biopsias y al aumento del uso de medicamentos relacionados con el desarrollo de CM (7). La CM es una entidad diagnosticada en mayor medida en pacientes de más de 60 años, y es la causa del 20% de las diarreas crónicas; se estima que el 10-20% de los pacientes con diarrea crónica sometidos a colonoscopia son diagnosticados con CM. Los datos son variados en incidencia debido a su gran variedad poblacional en términos de presentación clínica (10).

Un metanálisis muestra una incidencia global de 4,9 casos por 100.000 personas/año para CM y de 5 casos por 100.000 personas/año para CL (11). La incidencia de CM puede variar según la localización geográfica; en Europa es de 18 por 100.000 personas/año: en Dinamarca es de 24,3 por 100.000 personas/año, en Reino Unido, de 18 por 100.000 personas/año, y en Francia, de 7,9 por 100.000 habitantes/año (5,3/100.000 para colitis colágena y 2,6/100.000 para colitis linfocítica); en Estados Unidos es de 64 por 100.000 para CL y de 36 por 100.000 para CC (12-16). La prevalencia ha sido difícil de evaluar porque los datos son variables según la población y los estudios son muy pequeños. Sin embargo, aproximadamente cinco estudios muestran que la CM va desde 47,5 a 219 casos por 100.000 personas, la CC, de 50,1 por 100.000 personas, y la CL, de 61,7 por 100.000 personas (11).

En Latinoamérica, hay pocos estudios de CM en los que se reporten datos de una prevalencia de hasta el 9% en los pacientes con diarrea crónica. En nuestro medio no contamos con datos recientes de esta enfermedad (6).

La prevalencia de CM en pacientes con diagnóstico de síndrome de intestino irritable con predominio de diarrea llega al 18%, mientras que en CL alcanza un 23% (7,17,18). Hasta un 33% de los pacientes con diagnóstico histológico de CM han sido previamente diagnosticados con síndrome de intestino irritable; según los criterios de Roma, se detectó el 53% con estadio I y el 56% con Roma II (19,20). Se han encontrado datos en pacientes con malabsorción de ácidos biliares: el 43% de una cohorte de 57 pacientes presentaban CM (21).

En cuanto a la mortalidad y otros desenlaces, la evidencia actual proviene de grandes estudios de cohortes europeas, con la posible causa de la alta carga de comorbilidades de los pacientes. Sin embargo, hay datos de un estudio sueco con 14.333 pacientes con un aumento de la mortalidad relacionada a la infección (razón de peligro [HR]: 1,42; intervalo de confianza [IC] del 95%, 1,11-1,83), muerte relacionada a tracto gastrointestinal (colitis no infecciosa, enfermedad diverticular y enfermedad vascular intestinal), con un HR de 1,68; IC del 95%, 1,38-2,05. Sin embargo, no se encontró ninguna relación en la muerte de origen cardiovascular o no asociada a cáncer (HR, 0,83; IC del 95%, 0,76-0,91 y HR, 1,02; IC del 95%, 0,96-1,10, respectivamente) (22). Asimismo, datos de otro estudio danés mostraron un aumento de mortalidad por todas las causas en un 25%, tanto para la colitis microscópica como para la linfocítica (23). Los datos anteriores no son susceptibles de interpretación generalizada debido a la gran variabilidad en diferentes estudios.

 

 

Desarrollo del tema

 

Fisiopatología

La etiología exacta de la colitis microscópica es desconocida. La respuesta inmunitaria inadecuada de la mucosa frente a agentes luminales, así como la malabsorción, la predisposición genética, los medicamentos o los ácidos biliares (10) son pilares en la fisiopatología (tabla 1). Diferentes estudios han observado un aumento en el número de linfocitos T intraepiteliales, lo que sugiere una respuesta inmunitaria específica de la mucosa a factores luminales en individuos predispuestos (24). De igual manera, existe un desequilibrio en la población de linfocitos dado por un mayor aumento e infiltración de linfocitos T CD8 + a nivel epitelial de pacientes con CL y CC con un menor conteo de T CD4 + regulatorios. En pacientes con CC tratados con antihistamínicos, también se ha encontrado un aumento de los niveles luminales de proteína catiónica eosinofílica y de eosinófilos activados en la mucosa colónica. Asimismo, se ha relacionado el depósito de colágeno y la fibrosis con los mastocitos subepiteliales, de acuerdo con estudios con expresión de liberación de triptasa extracelular, hasta 41% en CM versus el grupo de control, con sólo el 10% (25,26).

 

TABLA 1. GENES ASOCIADOS A LESIÓN DE BARRERA INTESTINAL

Gen

HNF4α

CDH1

MEP1A

NOD2/CARD15

ATG16L1

Xbp1

STAT3

CLDN

GATM

MUC3A

MUC19

 

Dicho componente de inflamación crónica hace que se genere la migración hacia las criptas en su lámina basal de los fibroblastos, lo que provoca acumulación en un proceso crónico de depósito de colágeno tipo I, III y VI con ausencia del colágeno tipo IV. Esto genera las características histológicas de la enfermedad (9).

El complejo mayor de histocompatibilidad cumple una función fundamental en la regulación del sistema inmune ayudando a reconocer antígenos propios de extraños. Se han relacionado algunos haplotipos del HLA con la expresión de la enfermedad, entre los cuales encontramos DRW53, DQ2, DQ1.3 para CL; CC se ha relacionado tanto positiva como negativamente con DQ2, últimamente con hallazgos encontrados del haplotipo 8.1. La documentación de esta relación genética en la expresión de la enfermedad abre una puerta como posible herramienta diagnóstica y de tamizaje de la enfermedad (27-29). Asimismo, la historia de infecciones por Clostridium difficile y Yersinia enterocolítica también se han asociado con mayor riesgo de desarrollo de la enfermedad (30,31).

Finalmente, un estudio en un modelo animal ha demostrado que ratones transgénicos con antígeno leucocitario humano (HLA) B27/β 2 microglobulina, expuestos a bacterias del colon, desarrollan un daño similar CL (32). Otros estudios describen una regulación a la baja de la expresión de la acuaporina 8 en pacientes con colitis colágena (33).

 

 

Factores de riesgo

 

La CM actualmente se relaciona con un componente multifactorial. Hay un mayor riesgo de CM en mujeres, con un 72% de prevalencia en los estudios, e incluso hay una relación de presentación de CM y mujeres (razón de probabilidades [OR]: 2,52: 2,28-2,79), sin impacto de la distribución regional en la relación causal (1,11,34).

Dentro de las posibles causas se han postulado las siguientes: administración de medicamentos, alteraciones hormonales, predisposición genética, consumo de tabaco, malabsorción y enfermedades inmunológicas. Se describe a continuación la asociación con dichas entidades (9,10,35).

 

Enfermedades inmunológicas:

Se ha documentado que tener CM conlleva riesgo de patología autoinmune adicional con una OR de 8. Dentro de las patologías autoinmunes se describe la tiroiditis de Hashimoto en un 35%, la artritis reumatoide y el síndrome de Sjögren en el 17,5%, la enfermedad celíaca en un 10%, y el lupus eritematoso sistémico en un 10% (1,21,29,36). Los estudios muestran que en el momento del diagnóstico de CM el 25% ya posee otra patología autoinmune (2). Está documentada la concomitancia entre la enfermedad celíaca y la CM; incluso en la CM refractaria la prevalencia de enfermedad celíaca alcanza un 4,5%, y es adicionalmente un factor condicionante a refractariedad con un OR: 8,12, IC del 95%: 4,92-13,41, p <0,001 (37).

 

Cáncer:

En la CM no hay aumento del riesgo de cáncer colorrectal ni extracolónico establecido. Incluso algunos estudios han sugerido una relación negativa entre estas dos patologías. Algunos estudios han mostrado una relación discreta de la CM con el linfoma (HR: 1,43; IC del 95%: 1,06-1,36) y el cáncer de pulmón (HR: 1,32; IC del 95%: 1,04-1-68) (9,38).

 

Medicamentos:

Como asociación de posible riesgo para CM se ha descripto el uso de antinflamatorio no esteroide (AINE) (OR: 2,02; IC del 95%: 1,33-2,7), estatinas (OR: 1,74; IC del 95% 1,19-2,3), inhibidores de la bomba de protones (IBP) (OR: 2,65; IC del 95%: 1,81-3,5) y los inhibidores selectivos de la recaptación de serotonina (OR: 2,12; IC del 95%: 1,27-2,96) (39). La aspirina en dosis bajas (OR: 3,8) y los betabloqueantes (OR: 3,6) también se han relacionado con la CL; si bien no hay una relación causal directa, se recomienda la suspensión ante la sospecha (40).

 

Tóxicos:

En los antecedentes, el tabaco es el agente tóxico mejor documentado, aunque también se ha descripto el consumo de alcohol. La prevalencia de fumadores activos en CM alcanza el 26,2% (41). Burke y colaboradores demostraron un aumento del riesgo de CM en pacientes fumadores actuales de 2,52 (IC del 95%: 1,59-4,00) y de 1,54 (IC del 95%: 1,09-2,17) en los fumadores anteriores. El riesgo aumentó con un mayor número de paquetes al año (p = 0,001) y disminuyó después de dejar de fumar (p = 0,017). Comparando con quienes nunca han fumado, los HR ajustados por multivariables fueron 1,27 (IC del 95%: 0,74-2,18) para 10,1-20 paquetes-año, 2,23 (IC del 95%: 1,32-3,75) para 20,1-30 paquetes-año y 2,31 (IC del 95%: 1,42-3,75) para 30,1-50 paquetes-año. El tabaquismo actual estuvo más asociado con el riesgo de CC (3,68; IC del 95%: 1,94-6,97) que la CL (HR: 1,71; IC del 95%: 0,83-3,53) (42). Los datos de un metanálisis muestran que el tabaquismo actual se relaciona con la CM con un OR de 3,58; un IC del 95% del 2,51-5,11; para CL se muestra un OR de 3,64 y un IC del 95% de 2,46-5,38, y para CC, un OR de 4,43 y un IC del 95% de 2,68-7,32 (41).

 

 

Diagnóstico

 

La CM es una enfermedad subdiagnosticada dado que sus manifestaciones clínicas se solapan frecuentemente con los del síndrome de intestino irritable, una entidad caracterizada por alteración funcional mas no anatómica del tracto gastrointestinal (18,19). Las características histológicas son altamente específicas en el contexto de una mucosa colónica macroscópicamente normal o casi normal, lo cual la diferencia de otras enfermedades como la enfermedad de Crohn, la colitis ulcerosa y la colitis infecciosa. La CM se presenta con síntomas de instauración progresiva, pero en un 25% a 40% puede ser repentina (6,43). Se presenta típicamente con diarrea secretora crónica (>4 semanas), intermitente, no sanguinolenta con frecuentes síntomas nocturnos e incontinencia. Esta diarrea puede ser moderada o severa y con urgencia defecatoria, con una frecuencia de entre 4 y 9 deposiciones por día y a menudo más de 10, y el dolor abdominal se presenta en el 48% y, según algunos estudios, puede llegar hasta el 82% (1,6,9,10).

En un estudio retrospectivo de 199 pacientes con CL y 163 con CC se documentó que la diarrea estaba presente en el 96% y el 100% de los pacientes, respectivamente. La pérdida de peso y el dolor abdominal están presentes en más del 40% de los casos. En una cohorte de pacientes con CC, se informó un curso intermitente crónico en el 85% de los casos, un curso continuo en el 13% y un solo episodio sintomático en el 2%. En otra cohorte de pacientes con CL, se informó un curso intermitente crónico en el 30% de los casos, continuo en el 7% y episodios únicos en el 63% (43,44).

Dentro de los paraclínicos, se debe solicitar hemograma, VSG, análisis de química sanguínea, coprocultivos, exámenes parasitológicos, de función tiroidea, serología para celiaquía, proteína C reactiva, BUN y electrolitos. La calprotectina fecal también se solicita de rutina porque puede estar elevada. Sin embargo, no es específica de la CM y, por lo tanto, no sirve para diagnóstico, exclusión o seguimiento, ya que hasta en el 38% de los pacientes con CC sus niveles son normales (21).

Según el contexto clínico, niveles muy elevados de calprotectina pueden orientar a otra patología diferente a CM. Datos recientes de población pequeña han mostrado que la calprotectina con un corte >100 ug/g tiene un área bajo la curva (AUC) de 0,73, con una sensibilidad del 67% y una especificidad del 75%. El hecho anterior de la combinación en un contexto clínico de sospecha con calprotectina elevada (OR, 5,3; IC del 95%, 2-14,1) y edad mayor de 60 años (OR, 3,8; IC del 95%, 1,4-10,1) aumenta la probabilidad de CM. Incluso algunos estudios muestran ser una herramienta útil cuando el riesgo esté elevado para diferenciar la CM de SII (45). Aunque la recomendaciones actuales no dan utilidad ni para diagnóstico ni para exclusión de CM (11).

El diagnóstico definitivo requiere la realización de una colonoscopia en la cual macroscópicamente la mucosa colónica parece normal. Sin embargo, el 38,8% presenta lesiones visibles con ulceraciones lineales, pseudomembranas, patrones de irregularidad vascular, eritema, nodularidad, petequias y alteraciones de textura en la superficie (46). Deben realizarse biopsias escalonadas del colon, tomando al menos dos biopsias de colon ascendente, transverso y descendente o sigma (10).

En las dos formas de CM, la histología es el único método diagnóstico (7); demuestra un aumento de linfocitos intraepiteliales y de la lámina propia (>20 linfocitos /100 células epiteliales), tanto en el epitelio superficial como en el epitelio de las criptas, así como la presencia de una banda de colágeno subepitelial engrosada (>10 um) que diferencia la CC de la CL (9). Los cambios mucosos suelen ser más prominentes en el colon proximal. Recientemente se ha descripto la CMI, un nuevo subtipo, menor que los otros dos, que se caracteriza por inflamación de la lámina propia, pero con capa de colágeno (>5 um) y linfocitos intraepiteliales (>5 por 100 células epiteliales). Sin embargo, esta no puede ser diagnosticada con CM sólo con este hallazgo (47) (tabla 2).

 

TABLA 2. CARACTERÍSTICAS HISTOLÓGICAS DE LOS SUBTIPOS DE COLITIS MICROSCÓPICA

 

CL

CLi

CC

CCi

Inflamación mononuclear en la lámina propia

Moderadamente aumentada

Ligeramente aumentada

Moderadamente aumentada

Ligeramente aumentada

Número de linfocitos intraepiteliales

>20/100 células epiteliales

>10 a ≤20/100 células epiteliales

Normal o ligeramente aumentado

Normal o ligeramente aumentado

Grosor de la banda de colágeno subepitelial

Normal o ligeramente aumentada

Normal o ligeramente aumentada

>10 μm

>5 to ≤10 μm

Abreviaturas: CC: colitis colagenosa, CCi: colitis colagenosa incompleta, CL: colitis linfocítica, CLi: colitis linfocítica incompleta.

Traducido y modificado de: Goudkade D, Fiehn AMK, Landolfi S, et al. An investigation of European pathologists’ approach to diagnose microscopic colitis.

Annals of Diagnostic Pathology 2020;46:151520. https://doi.org/10.1016/j.anndiagpath.2020.151520

 

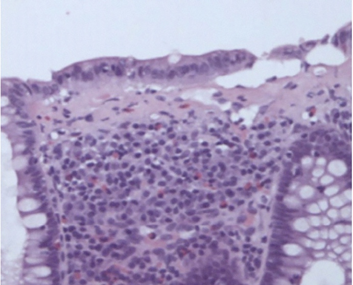
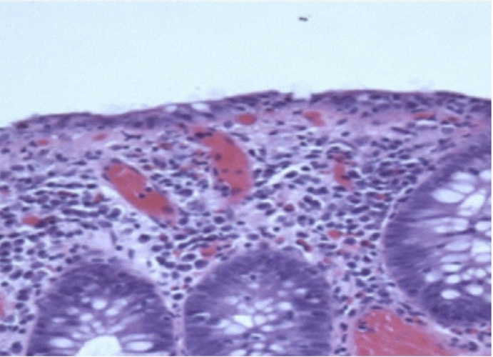
La CL presenta lesiones epiteliales superficiales leves. Presenta un infiltrado inflamatorio mononuclear mixto (plasmocitos, linfocitos) y escasos eosinófilos en la lámina propia; es poco frecuente la presencia de neutrófilos, en ausencia de un depósito de colágeno subepitelial. La CC presenta lesiones epiteliales superficiales moderadas a severas. Estas células epiteliales dañadas aparecen aplanadas e irregularmente orientadas. La banda de colágeno contiene capilares atrapados, glóbulos rojos y células inflamatorias (48) (Fig. 3).

 

Figura 2. Colitis linfocítica (HE × 100). Fuente: Engel PJH, Fiehn A-MK, Munck LK, Kristensson M. The subtypes of microscopic colitis from a pathologist’s perspective: past, present and future. Annals of Translational Medicine 20186:69. https://doi.org/10.21037/atm.2017.03.16

 

Figura 3. Colitis colágena (HE, × 100). Fuente: Engel PJH, Fiehn A-MK, Munck LK, Kristensson M. The subtypes of microscopic colitis from a pathologist’s perspective: past, present and future. Annals of Translational Medicine 2018;6:69. https://doi.org/10.21037/atm.2017.03.16

 

Actualmente se recomienda que el diagnóstico se base en tinciones de la muestra con hematoxilina-eosina y que las tinciones complementarias se empleen únicamente cuando exista incertidumbre en el diagnóstico. Ejemplos de tinciones complementarias son la de Van Gieson, la tricrómica de Masson o la de rojo sirio. Como método complementario se realiza análisis de inmunohistoquímica con CD3 para resaltar los linfocitos T en la CL. Ciertos estudios reportan que hasta un 80% de los pacientes pueden llegar a requerir tinciones adicionales para establecer un diagnóstico definitivo (5). Dentro del espectro y seguimiento histológico, la conversión entre CC y CL se puede presentar con reportes desde el 6% hasta el 18%, variando según el subtipo (49,50).

Además de la biopsia, no existen marcadores útiles para el diagnóstico, ni escalas validadas en riesgo de CM; sin embargo, un estudio promueve un score enfatizando en la historia clínica en contexto de diarrea crónica para valorar la probabilidad precolonoscopia de CM, considerando la cronicidad, los síntomas de diarrea inflamatoria, la exposición farmacológica y los estilos de vida (51). El Grupo Europeo de CM recomienda excluir la enfermedad celíaca, la malabsorción de ácidos biliares, el sobrecrecimiento bacteriano y la malabsorción de lactosa durante la evaluación diagnóstica. La presencia de malabsorción, deficiencia de hierro y pérdida significativa de peso obligan a descartar enfermedad celíaca (11).

La CM y la enfermedad celíaca comparten muchas manifestaciones clínicas con una mayor prevalencia (4-15%) de la enfermedad celíaca en los pacientes con subtipo linfocítico de CM, pero no existe una asociación entre el consumo de gluten y el riesgo de CM en pacientes sin antecedente de enfermedad celíaca. Por lo tanto, la diarrea en la CM se mantiene con la dieta sin gluten (33).

Aproximadamente la mitad de los pacientes cumplen con criterios de síndrome de intestino irritable, como dolor y distensión abdominal, y períodos de estreñimiento. El síndrome de intestino irritable es más frecuente en personas más jóvenes, por lo general menores de 50 años, presenta heces de consistencia variable y, a diferencia de la CM, raramente presenta incontinencia fecal y heces nocturnas (tabla 3). En el Reino Unido se ha adoptado un enfoque de diagnóstico y manejo, para facilitar las decisiones clínicas con respecto a los pacientes con CM (6,7,18) (Fig. 4)

 

TABLA 3. DIFERENCIAS CLÍNICAS ENTRE PACIENTES CON SÍNDROME DE INTESTINO IRRITABLE Y AQUELLOS CON COLITIS MICROSCÓPICA

Historia clínica

Síndrome del intestino irritable

Colitis microscópica

Primera aparición de enfermedad

Generalmente antes de los 50 años

Generalmente después de los 50 años

Consistencia de las heces

Blanda - variable - duro

Acuosa - blanda

Dolor / malestar abdominal

Obligatoria

Variable

Diarrea nocturna

Muy improbable

Posible

Sensación de evacuación intestinal incompleta

Común

No

Pérdida de peso

Raro

Común

Incontinencia fecal

Raro

Común

Sensación de plenitud / distensión

Común

Raro

Enfermedad autoinmune acompañante

Raro

Común

Traducido de: Münch A, Sanders DS, Molloy-Bland M, Hungin APS. Undiagnosed microscopic colitis: A hidden cause of chronic diarrhoea and a frequently missed treatment opportunity. Frontline Gastroenterology 2020;11:228-35. https://doi.org/10.1136/flgastro-2019-10122

 

Figura 4. Enfoque de colitis microscópica.

 

La CM tiene un alto impacto en la calidad de vida; sin embargo, no hay una escala validada, por lo cual la única recomendación es medir la actividad con los criterios de Hjortswang; los cortes de actividad son: >3 deposiciones/día o >1 deposición liquida/día, o de remisión: <3 deposiciones/día, o <1 deposición liquida/día, evaluación hecha durante una semana y los cortes anteriores relacionados con scores de calidad de vida y actividad (52).

 

 

Tratamiento

 

El tratamiento inicial consiste en eliminar los factores de riesgo, si existen y es posible, como el tabaquismo, los medicamentos (IBP, inhibidores selectivos de la recaptación de serotonina [ISRS], AINE y anti-H2), el consumo de cafeína y de lactosa. Si esto falla, se procederá al tratamiento farmacológico (6,7,21). Aproximadamente el 30% de los pacientes puede tener una remisión espontánea, por lo que pueden ser tratados sintomáticamente con loperamida (6). El tratamiento no distingue entre los subtipos de CM; sin embargo, se ha documentado que el grado de engrosamiento de la lámina propia en la CC es un predictor significativo del grado de respuesta de los síntomas (7). Dado el carácter no progresivo de la enfermedad, el tratamiento no busca la resolución de la inflamación histológica, sino el manejo de los síntomas. Entre los medicamentos que se han usado se encuentran esteroides como la budesonida y la prednisona, el subsalicilato de bismuto, 5-ASA y la colestiramina. De estos medicamentos, el único que cuenta con ensayos clínicos aleatorios (ECA) que demuestran la efectividad en CL y CC, en inducción y mantenimiento, es la budesonida (9).

Las recomendaciones actuales son con budesonida para la inducción y mantenimiento de la remisión CM sintomática. Los datos muestran una tasa de remisión para CC del 81% versus el 17% con placebo después de 6-8 semanas de inducción con 9 mg/día, según el score de Hjortswang con remisión del 86% comparado con el 26% del placebo; el 78% de respuesta histológica comparado con el 32% del placebo (53). Los datos para CL son los siguientes: 81% y 43% para placebo, respuesta histológica del 73%, y 33% con placebo (11).

Dentro de la terapia de mantenimiento, para CC la respuesta a la budesonida a seis meses fue una remisión en un 75% versus el 25% en placebo; la respuesta histológica fue de 48% y de 15% en placebo, con una disminución de riesgo de recaída (RR: 0,34, IC del 95%: 0,19-0,6). En CL no hay ECA; sin embargo, en el espectro de la enfermedad se puede asimilar el mismo tratamiento (54,55). La budesonida es localmente activa, con poca acción sistémica, bien tolerada, con pocos efectos adversos y es el medicamento más usado para la CM (59%). Adicionalmente, se reporta un bajo riesgo de osteoporosis u osteopenia (2,56). La dosis recomendada es de 9 mg/día para la inducción durante 6-8 semanas, disminuyendo a 6 mg/día durante seis meses en el mantenimiento; incluso se han obtenido datos de no inferioridad entre la dosis intercalada de 6 mg por día con 3 mg/día. Si no hay una respuesta adecuada a la budesonida se deben buscar otros diagnósticos, como la enfermedad celíaca, el sobrecrecimiento bacteriano o la diarrea por ácidos biliares (7,11,21).

Pueden administrarse otros esteroides como prednisolona, condicionados a una mayor tasa de recaída y medicamentosa como beclometasona dipiprionato de aplicación tópica colónica de 10 mg por día durante cuatro semanas, y posteriormente de 5 mg día por cuatro semanas. A las cuatro semanas tiene una respuesta del 80% y una remisión del 67%, incluso cuatro semanas después de detener el tratamiento, el 60% se encontraban en remisión (57).

La mesalazina es una opción de tratamiento de inducción, inferior a la budesonida en la CC con el 44%, comparado con el 81% de la budesonida, y en la CL del 63% comparado con el 73% de la budesonida en un seguimiento a ocho semanas, pero es superior a placebo, aun en un estudio de efectividad en su combinación con colestiramina (58,59). Otra opción, sin ser una recomendación fuerte por falta de ECA, es el subsalicilato de bismuto, con estudios pequeños y series de casos con remisión de hasta el 45% en la CL y el 63,3% en la CC, con mejoría de diarrea del 23%, sin lograr respuesta histológica (60). La opción de loperamida se deja para el manejo sintomático en enfermedades leves. Por otro lado, los agentes de ácidos biliares tienen efecto en el 14% de pacientes con CM que tienen diarrea de ácidos biliares; su manejo en CM sola aún no tiene recomendación (9,11).

No hay evidencia de efecto positivo en el uso rutinario de antibióticos, sí hay una respuesta al manejo con probióticos en disminución de deposiciones diarreicas a las diez semanas y remisión; los estudios fueron con Lactobacillus acidophilus y Bifidobacterium animalis (61). Dentro de las opciones ante refractariedad a la budesonida, se cuenta con tiopurinas, antifactor de necrosis tumoral o vedolizumab. Las tasas de respuesta con azatriopina van desde el 28% al 69%, con efectos adversos de hasta el 35%. Con metotrexato se ha observado una tasa de remisión de hasta el 75% (9).

La terapia biológica antifactor de necrosis tumoral (TNF) (infliximab o adalimumab), sin estudios grandes –un máximo de 18 pacientes–, logró tasas de remisión en 12 pacientes (62). Por otro lado, el vedolizumab en refractariedad incluso a anti-TNF mostró remisión a los 13 meses en estudios pequeños (63). El tratamiento quirúrgico se ha descripto en muy pocos casos y ha consistido en ileostomía o proctocolectomía total; es una opción de tratamiento ante refractariedad al manejo médico o las complicaciones. En el seguimiento, si hay buena evolución, no es necesario repetir la colonoscopia y el estudio histológico, puesto que existe una buena correlación entre la remisión clínica e histológica. Los medicamentos en los que se ha demostrado respuesta significativa en el tratamiento de la CM se pueden observar en la tabla 4 (9-11).

 

TABLA 4. MEDICAMENTOS PARA EL TRATAMIENTO DE COLITIS MICROSCÓPICA

Medicamento

Dosis

Budesonida

(1 linea)

Inducción: 9 mg/día por 6-8 semanas. Mantenimiento: 6 mg día oral 6 meses o 3 mg/día oral por 12 meses.

Mesalazina

3 g/día por 8 semanas (inferioridad a budesonida)

Prednisolona

50 mg diario por 2 semanas. Evidencia con ciclos cortos - Alta tasa de recaída.

Beclometasona dipiprionato - Tópico colónico

10 mg día por 4 semanas; después: 5 mg día por 4 semanas.

 

Refractariedad a tratamiento

Azatriopina (2-2,5 mg/kg/día)

Metotrexato

Adallimumab

infliximab, vedolizumab

6 mercaptopurina

Opciones de tratamiento, ante la no remisión con primera línea con budesonida. 

 

Considerar el manejo quirúrgico.

 

Opciones adicionales

Loperamida

Manejo sintomático - indicado en enfermedad leve.

Colestiramina

4 gramos por vía oral cada 6 horas.

Evidencia en CM con diarrea por ácidos biliares.

Subsalicilato

de bismuto

8 a 9 tabletas de 262 mg al día, divididas en 2 o 3 dosis por 8 semanas.

 

Sin evidencia fuerte. No recomendado.

Tomado y modificado de: Villanueva MS, Alimi Y. Microscopic colitis (lymphocytic and collagenous), eosinophilic colitis, and celiac disease. Clinics in Colon and Rectal Surgery 2015;28;118-26. https://doi.org/10.1055/s-0035-1549365

 

 

Pronóstico

 

La historia natural de la CM a largo plazo no está bien definida; es tradicionalmente considerada una enfermedad benigna, no progresiva, pero se asocia a un deterioro de la calidad de vida. Tiene un pronóstico muy bueno, con remisión espontánea o tratamiento adecuado. Cuando se obtiene la remisión clínica, el curso es benigno y la mayoría de los pacientes se mantienen asintomáticos a largo plazo (7,21).

La mayoría de los pacientes presenta un único episodio, pero un 30% presenta un curso crónico recurrente. La remisión espontánea se presenta hasta en un 10% de los casos y la refractariedad al tratamiento, en el 7%. La recaída se presenta en el 60% al 85% de los pacientes que suspenden la budesonida, pero al reiniciar el tratamiento puede obtenerse la remisión clínica y mantenerse con dosis más bajas (6,7).

En un estudio francés con 133 pacientes, el 15% de los casos necesitaron hospitalización, el 28% recayó después de una mediana de tiempo de 3,9 años desde el diagnóstico, sin diferencias significativas entre la CC y la CL (30% vs. 26%), el 22% presentó dependencia a esteroides y el 5% fue corticorresistente. Los siguientes factores estuvieron asociados a recaídas: la edad en el momento del diagnóstico (HR, 1,03; IC del 95%, 1,00-1,06) y la exposición a budesonida (HR, 2,50; IC del 95%, 1,11-5,55). En 33 pacientes con CC que alcanzaron la remisión clínica, se realizó un seguimiento durante 16 meses, y se encontró una recaída en el 61%; el 88% ocurrió dentro de los tres meses de terminar el tratamiento (2,64).

 

 

Conclusiones

 

La colitis microscópica es una causa común de diarrea crónica acuosa recidivante no sanguinolenta que afecta principalmente a mujeres después de la quinta década de vida. Se ha asociado con diferentes enfermedades autoinmunes, medicamentos y exposición al tabaco; sin embargo no se cuenta con datos epidemiológicos en nuestro medio. Su principal diagnóstico diferencial es el síndrome de intestino irritable y la enfermedad inflamatoria intestinal tipo CU y EC, por lo que se requiere obligatoriamente un estudio histológico. El pilar del tratamiento son los inmunosupresores; la primera línea es la budesonida, que ha demostrado mejorar el desenlace y la calidad de vida.

A la fecha se tiene como opción la terapia biológica; faltan mayores estudios para dar recomendaciones sólidos sobre estas intervenciones, pero son una opción ante refractariedad con o sin manejo quirúrgico. De todos modos, es necesario establecer la prevalencia y la incidencia de la enfermedad en nuestro medio con el fin de mitigar el subdiagnóstico de esta entidad.

 

 

Referencias bibliográficas

 

1.   Tong J, Zheng Q, Zhang C. Incidence, prevalence, and temporal trends of microscopic colitis: a systematic review and meta-analysis. Am J Gastroenterol 2015;110(2):265-76

2.   Loreau J, Duricova D, Gower-Rousseau C, et al. Long-term natural history of microscopic colitis: a population-based cohort. Clin Transl Gastroenterol 2019;10(9):e00071

3.   Lindström CG. “Collagenous colitis” with watery diarrhoea-a new entity? Pathol Eur 1976;11(1):87-9

4.   Read NW, Krejs GJ, Read MG, et al. Chronic diarrhea of unknown origin. Gastroenterology 1980;78:264-71

5.   Kanstrup Fiehn A-M, Heiberg Engel PJ, Lanzarotto F, et al. Topographical distribution of microscopic colitis and the importance of orientation of paraffin-embedded biopsies. Hum Pathol 2020;103:63-71

6.   Prieto Ortiz RG, Prieto Ortiz JE. Colitis microscópica, un diagnóstico en aumento. Rev Colomb Gastroenterol 2019;34(4 SE-Revisión de tema):399-403. Disponible en: https://revistagastrocol.com/index.php/rcg/article/view/377

7.   Münch A, Sanders DS, Molloy-Bland M, Hungin APS. Undiagnosed microscopic colitis: a hidden cause of chronic diarrhoea and a frequently missed treatment opportunity. Frontline Gastroenterol 2020;11:228-34

8.   Windon AL, Almazan E, Oliva-Hemker M, et al. Lymphocytic and collagenous colitis in children and adolescents: Comprehensive clinicopathologic analysis with long-term follow-up. Hum Pathol 2020;106:13-22

9.   Nielsen OH, Fernandez-Banares F, Sato T, Pardi DS. Microscopic colitis: Etiopathology, diagnosis, and rational management. Elife 2022;11.

10. Burke KE, D’Amato M, Ng SC, et al. Microscopic colitis. Nat Rev Dis Prim 2021;7.

11. Miehlke S, Guagnozzi D, Zabana Y, et al. European guidelines on microscopic colitis: United European Gastroenterology and European Microscopic Colitis Group statements and recommendations. United Eur Gastroenterol J 2021;9:13-37

12. Levy A, Borren NZ, Maxner B, et al. Cancer risk in microscopic colitis: a retrospective cohort study. BMC Gastroenterol 2019;19:1. Disponible en: https://doi.org/10.1186/s12876-018-0926-4

13. Fumery M, Kohut M, Gower-Rousseau C, et al. Incidence, clinical presentation, and associated factors of microscopic colitis in Northern France: A Population-Based Study. Dig Dis Sci 2017;62:1571-9

14. Liu P-H, Lebwohl B, Burke KE, et al. Dietary gluten intake and risk of microscopic colitis among US women without celiac disease: a prospective cohort study. Am J Gastroenterol 2019;114:127-34. Disponible en: https://pubmed.ncbi.nlm.nih.gov/30181535

15. Khalili H, Bergman D, Roelstraete B, et al. Mortality of patients with microscopic colitis. Sweden 2020. Disponible en: https://doi.org/10.1016/j.cgh.2019.12.012

16. Moore M, Coleman HG, Allen PB, Loughrey MB. Microscopic colitis: a population-based case series over a 9-year period in Northern Ireland. Color Dis Off J Assoc Coloproctology Gt Britain Irel 2018;20:1020-7

17. Tunçer C, Cindoruk M, Dursun A, Karakan T. Prevalence of microscopic colitis in patients with symptoms suggesting irritable bowel syndrome. Acta Gastroenterol Belg 2003;66:133-6

18. Kamp EJCA, Kane JS, Ford AC. Irritable bowel syndrome and microscopic colitis: A systematic review and meta-analysis. Clin Gastroenterol Hepatol Off Clin Pract J Am Gastroenterol Assoc 2016;14:655-9

19. Carmona-Sánchez R, Carrera-Álvarez MA, Pérez-Aguilar RM. Prevalencia de colitis microscópica en pacientes con criterios del síndrome de intestino irritable con predominio de diarrea. Rev Gastroenterol Mex 2011;76:39-45

20. Limsui D, Pardi DS, Camilleri M, et al. Symptomatic overlap between irritable bowel syndrome and microscopic colitis. Inflamm Bowel Dis 2007;13:175-81. Disponible en: https://doi.org/10.1002/ibd.20059

21. Townsend T, Campbell F, O’Toole P, Probert C. Review: Microscopic colitis: diagnosis and management. Frontline Gastroenterol 2019;10:388. Disponible en: /pmc/articles/PMC6788131/

22. Khalili H, Bergman D, Roelstraete B, et al. Mortality of patients with microscopic colitis in Sweden. Clin Gastroenterol Hepatol 2020;18:2491-9.e3. Disponible en: https://doi.org/10.1016/j.cgh.2019.12.012

23. Andersen NN, Munck LK, Hansen S, et al. All-cause and cause-specific mortality in microscopic colitis: a Danish nationwide matched cohort study. Aliment Pharmacol Ther 2020;52:319-28. Disponible en: https://onlinelibrary.wiley.com/doi/full/10.1111/apt.15868

24. Hemert S van, Skonieczna-Żydecka K, Loniewski I, et al. Microscopic colitis—microbiome, barrier function and associated diseases. Ann Transl Med 2018;6:39. Disponible en: /pmc/articles/PMC5879520/

25. Baum CA, Bhatia P, Miner PBJ. Increased colonic mucosal mast cells associated with severe watery diarrhea and microscopic colitis. Dig Dis Sci 1989;34:1462-5

26. Chi Z, Xu J, Saxena R. Increased mast cell counts and degranulation in microscopic colitis. Gastroenterol Res Pract 2020.

27. Barrett JC, Hansoul S, Nicolae DL, et al. Genome-wide association defines more than 30 distinct susceptibility loci for Crohn’s disease. Nat Genet 2008;40:955-62. Disponible en: https://www.nature.com/articles/ng.175

28. Westerlind H, Mellander M-R, Bresso F, et al. Dense genotyping of immune-related loci identifies HLA variants associated with increased risk of collagenous colitis. Gut 2017;66:421-8

29. Stahl E, Roda G, Dobbyn A, et al. Collagenous colitis is associated with hla signature and shares genetic risks with other immune-mediated diseases. Gastroenterology 2020;159:549-61.e8

30. Byrne MF, McVey G, Royston D, Patchett SE. Association of clostridium difficile infection with collagenous colitis. J Clin Gastroenterol 2003;36. Disponible en: https://journals.lww.com/jcge/Fulltext/2003/03000/Association_of_Clostridium_difficile_Infection.23.aspx

31. Bohr J, Nordfelth R, Järnerot G, Tysk C. Yersinia species in collagenous colitis: a serologic study. Scand J Gastroenterol 2002;37:711-4

32. Rath HC, Herfarth HH, Ikeda JS, et al. Normal luminal bacteria, especially Bacteroides species, mediate chronic colitis, gastritis, and arthritis in HLA-B27/human beta2 microglobulin transgenic rats. J Clin Invest 1996;98:945-53

33. Green PHR, Yang J, Cheng J, et al. An association between microscopic colitis and celiac disease. Clin Gastroenterol Hepatol Off Clin Pract J Am Gastroenterol Assoc 2009;7):1210-6

34. Burke KE, Ananthakrishnan AN, Lochhead P, et al. Identification of menopausal and reproductive risk factors for microscopic colitis-results from the nurses’ health study. Gastroenterology 2018;155:1764-75.e2

35. Zylberberg HM, Kamboj AK, De Cuir N, et al. Medication use and microscopic colitis: a multicentre retrospective cohort study. Aliment Pharmacol Ther 2021;53:1209-15

36. Fedor I, Zold E, Barta Z. Microscopic colitis: controversies in clinical symptoms and autoimmune comorbidities. Ann Med 2021;53:1279-84

37. Aziz M, Haghbin H, Khan RS, et al. Celiac disease is associated with microscopic colitis in refractory cases in adults: a systematic review and meta-analysis of observational studies. Dig Dis Sci 2022;67(8):3529-42. Disponible en: https://doi.org/10.1007/s10620-021-07232-7

38. Liu Y-H, Wu Z, Ding J-Y, Shi Y-D. Microscopic colitis is associated with a reduced risk of colorectal adenoma and cancer: a meta-analysis. Inflamm Bowel Dis 2022;28:1584-91

39. Tarar ZI, Farooq U, Gandhi M, et al. Are drugs associated with microscopic colitis? A systematic review and meta-analysis. Dis 2022;11

40. Lucendo AJ. Drug exposure and the risk of microscopic colitis: a critical update. Drugs R D 2017;17:79-89

41. Al Momani L, Balagoni H, Alomari M, et al. The association between smoking and both types of microscopic colitis: A systematic review and meta-analysis. Arab J Gastroenterol Off Publ Pan-Arab Assoc Gastroenterol 2020;21:9-18

42. Burke KE, Ananthakrishnan AN, Lochhead P, et al. Smoking is associated with an increased risk of microscopic colitis: results from two large prospective cohort studies of us women. J Crohns Colitis 2018;12:559. Disponible en: /pmc/articles/PMC6018687/

43. Olesen M, Eriksson S, Bohr J, et al. Lymphocytic colitis: a retrospective clinical study of 199 Swedish patients. Gut 2004;53:536-41

44. Terruzzi V, Minoli G. Collagenous colitis: a retrospective study of clinical presentation and treatment in 163 patients. Gastrointest Endosc 1997;46:200-1

45. Batista L, Ruiz L, Ferrer C, et al. Usefulness of fecal calprotectin as a biomarker of microscopic colitis in a cohort of patients with chronic watery diarrhoea of functional characteristics. Dig liver Dis Off J Ital Soc Gastroenterol Ital Assoc Study Liver 2019;51:1646-51

46. Marlicz W, Skonieczna-Żydecka K, et al. Endoscopic findings and colonic perforation in microscopic colitis: A systematic review. Dig liver Dis Off J Ital Soc Gastroenterol Ital Assoc Study Liver 2017;49:1073-85

47. Mihaly E, Patai Á, Tulassay Z. Controversials of Microscopic Colitis. Front Med. 2021;8:717438

48. Engel PJH, Fiehn A-MK, Munck LK, Kristensson M. The subtypes of microscopic colitis from a pathologist’s perspective: past, present and future. Ann Transl Med 2018;6:69. Disponible en: /pmc/articles/PMC5879503/

49. Andrews CN, Beck PL, Wilsack L, et al. Evaluation of endoscopist and pathologist factors affecting the incidence of microscopic colitis. Can J Gastroenterol 2012;26:515. Disponible en: /pmc/articles/PMC3414472/

50. Rasmussen J, Engel PJH, Wildt S, et al. The temporal evolution of histological abnormalities in microscopic colitis. J Crohns Colitis 2016;10:262-8

51. Cotter TG, Binder M, Harper EP, et al. Optimization of a scoring system to predict microscopic colitis in a cohort of patients with chronic diarrhea. J Clin Gastroenterol 2017;51:228-34

52. Hjortswang H, Tysk C, Bohr J, et al. Defining clinical criteria for clinical remission and disease activity in collagenous colitis. Inflamm Bowel Dis 2009;15:1875-81

53. Sebastian S, Wilhelm A, Jessica L, et al. Budesonide treatment for microscopic colitis: systematic review and meta-analysis. Eur J Gastroenterol Hepatol 2019;31:919-27

54. Miehlke S, Madisch A, Bethke B, et al. Oral budesonide for maintenance treatment of collagenous colitis: a randomized, double-blind, placebo-controlled trial. Gastroenterology 2008;135:1510-6

55. Münch A, Bohr J, Miehlke S, et al. Low-dose budesonide for maintenance of clinical remission in collagenous colitis: a randomised, placebo-controlled, 12-month trial. Gut 2016;65:47-56

56. Wildt S, Munck LK, Becker S, et al. Risk of osteoporosis in microscopic colitis. Postgrad Med 2018;130:348-54

57. De Corte T, Janssens E, D’Hondt A, et al. Beclomethasone dipropionate in microscopic colitis: Results of an exploratory open-label multicentre study (COLCO). United Eur Gastroenterol J 2019;7:1183-8

58. Miehlke S, Aust D, Mihaly E, et al. Efficacy and safety of budesonide, vs mesalazine or placebo, as induction therapy for lymphocytic colitis. Gastroenterology 2018;155:1795-804.e3

59. Calabrese C, Fabbri A, Areni A, et al. Mesalazine with or without cholestyramine in the treatment of microscopic colitis: randomized controlled trial. J Gastroenterol Hepatol 2007;22:809-14

60. Chande N, Al Yatama N, Bhanji T, et al. Interventions for treating lymphocytic colitis. Cochrane database Syst Rev 2017;7:CD006096

61. Rohatgi S, Ahuja V, Makharia GK, et al. VSL#3 induces and maintains short-term clinical response in patients with active microscopic colitis: a two-phase randomised clinical trial. BMJ Open Gastroenterol 2015;2:e000018

62. Daferera N, Hjortswang H, Ignatova S, Münch A. Single-centre experience with anti-tumour necrosis factor treatment in budesonide-refractory microscopic colitis patients. United Eur Gastroenterol J 2019;7:1234-40

63. Rivière P, Münch A, Michetti P, et al. Vedolizumab in refractory microscopic colitis: an international case series. J Crohns Colitis 2019;13:337-40

64. Miehlke S, Madisch A, Voss C, et al. Long-term follow-up of collagenous colitis after induction of clinical remission with budesonide. Aliment Pharmacol Ther 2005;22:1115-9